Align & Shine Dental Clinic
Home
About Us
Our Team
Services
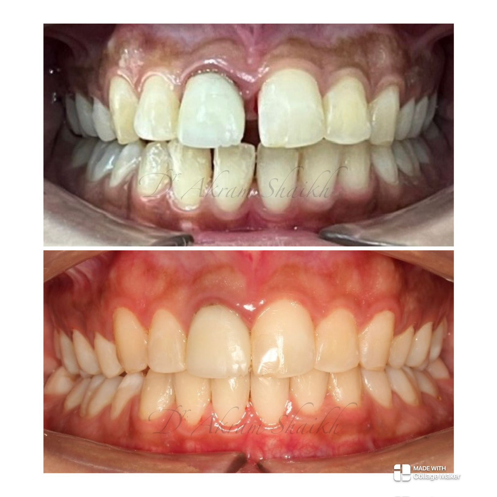
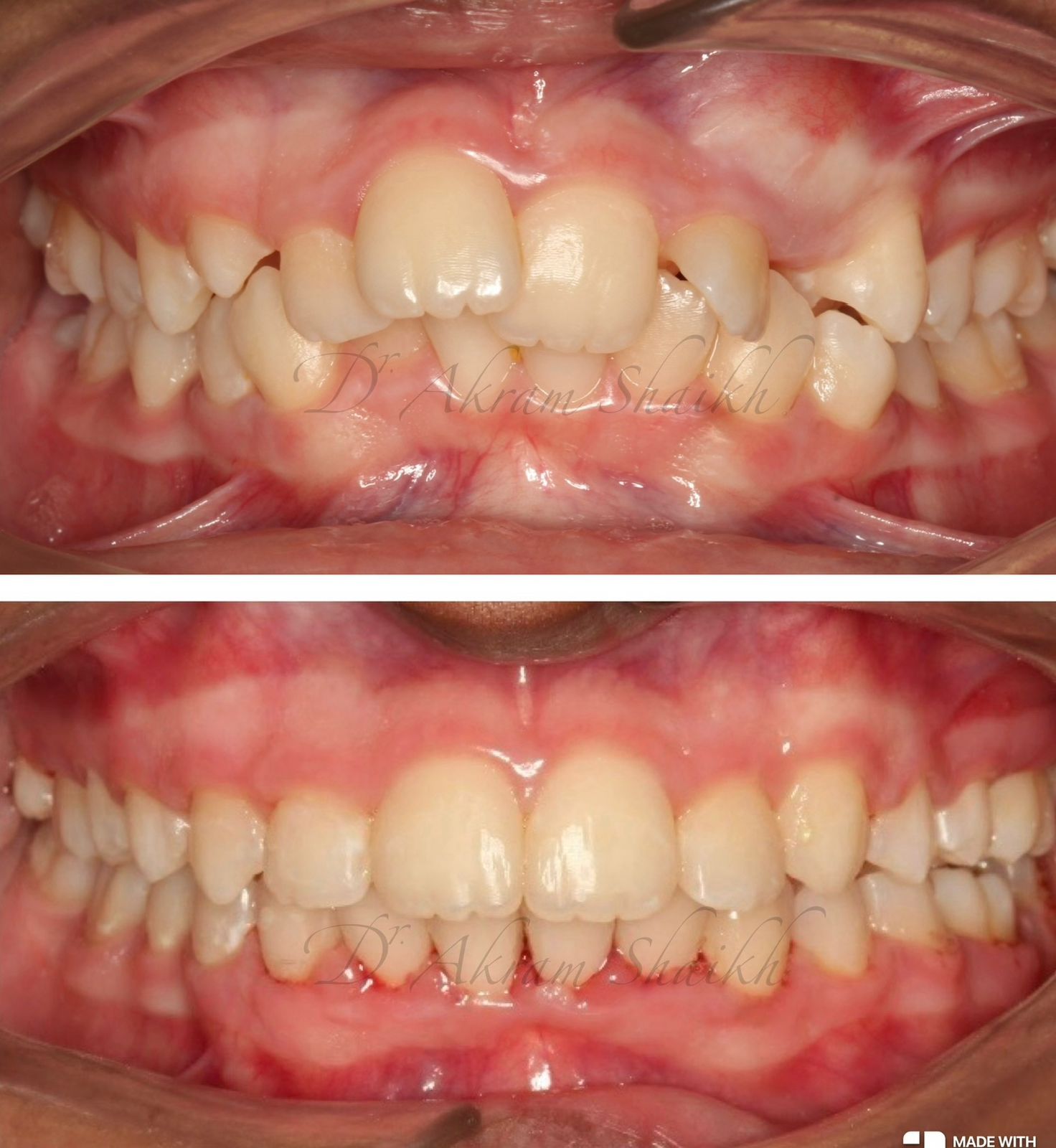
Gallery
Photos
Videos
Contact Us
book appointment
book appointment
Photos
home
Photos
Bandra
Clinic
Santacruz
Clinic